Journey With Braces

What is orthodontics?


Orthodontics is one of the many dental specialties. It is specifically concerned with diagnosing and treating tooth misalignment, irregularity in the jaw area and improper bites. Initially, orthodontic treatments were only planned for young kids, but these days even adults are considering getting treated.

It has been misconstrued that orthodontic treatments are only for aesthetic/beautifying/cosmetic purposes. But as a matter of fact, the benefits of orthodontics go far beyond these. It not only improves your appearance, but also enhances the health and function of the teeth and jaws.

There are many advantages to well-aligned teeth, including easier cleaning, better oral hygiene, clearer speech and a more pleasant smile.

Confidence
An attractive smile can play an important role in enhancing overall self-image and confidence.

Oral Hygiene
Crowding and overlapping of teeth can make it to difficult to clean teeth. Inadequate cleaning then leads to tooth decay, gum disease or total tooth loss.

Chewing and Occlusions
The first stage of digestion happens in the mouth. Ability to chew food depends on your bite. Malocclusions or bad bites do not help in properly chewing food. Orthodontic problems that go untreated can lead to chewing and digestion difficulties. Proper occlusion is important for good oral health and an attractive appearance. A misaligned bite can cause uneven distribution of force with each bite.

Avoiding wearing out of teeth
A poorly aligned bite may lead to excessive or uneven wearing out of teeth.

Eliminate jaw joint problems
Damage and pain in and around the jaw joint can be caused by poor natural alignment and lead to headaches, migraines, TMJ problems etc.

Clarity in speech
Some people have difficulty speaking properly because of alignment problems with their teeth and jaws.

Healthier Gums
better tooth alignment helps gums fit better around teeth.

Are you a candidate?


Your family dentist or an orthodontist will determine whether you need orthodontic treatment, based on dental health history, clinical examination, and plaster models of your teeth, XRAYS and photographs. However if you identify any of the following conditions, seek an appointment at the earliest, because STRAIGHT TEETH ARE HEALTHY TEETH.


Underbite

An underbite is characterized by the lower teeth and jaw protruding up and beyond the upper jaw. That means that when you close your mouth, the lower teeth and jaw will appear abnormally pronounced. 

Overbite

An overbite or deep bite is characterized by upper front teeth extending out over the lower front teeth, causing the lower front teeth to bite into the roof of the mouth and is completely hidden behind the upper teeth.

Openbite

This bite is generally characterized by front teeth failing to meet. It is caused by habits such as tongue thrusting and thumb/finger sucking.

Crossbite (front teeth and back teeth)

A crossbite occurs when there is a misalignment of your upper teeth in relation to your lower teeth.

Excessive spacing

Spacing may be caused by missing teeth, or may be just a cosmetic issue.

Crowding

Crowding occurs when teeth have insufficient room to erupt.

Abnormal eruption

Ectopic (abnormal) eruption is a malposition of a permanent tooth bud resulting in the tooth erupting in the wrong place.

s
Protrusion

The upper teeth extend too far forward than the lower teeth, thereby the appearance and function of your teeth get compromised.

Dental midlines do not match

Dental midlines do not match when the back bite does not fit and match appropriately.

A convex profile is normally associated with class II malocclusion. There is either an overdeveloped upper jaw, or, underdeveloped lower jaw, or, a combination of both.
A concave profile is normally associated with class III malocclusion. There is either an underdeveloped upper jaw, or, overdeveloped lower jaw, or, a combination of both.
Ideally a class II and class III skeletal problem should be intercepted at an early age. – PHASE 1.
In most adults skeletal problems can be addressed using TADs(Temporary Anchorage Devices – SPECIALISED ORTHODONTICS), whereas in some cases, Orthognathic surgery would be advised.

TYPES OF BRACES AND RETAINERS


Traditional Metal Braces

These braces consist of the traditional metal wires and metal brackets. They are the most common kind of braces and are more comfortable than ever before. Traditional metal braces are made of high-grade stainless steel, and with metal braces, the child has the option of colored rubber bands, known as elastics, for a very quirky look.

Traditional Ceramic Braces

These braces consist of the traditional metal wires and ceramic or porcelain brackets. Ceramic brackets are the same shape as modern metal brackets, but they are less noticeable because they are tooth-colored or clear colored, which matches and blends in with the smile better. They are less noticeable and are often used on adults.

Self Ligating Braces

These braces consist of the same materials as traditional metal and ceramic braces. However these are self locking brackets, which completely eliminate the use of elastics (rubber bands) on the brackets. Consequently, fewer appointments are required, less resistance applied to the teeth, thereby causing lesser discomfort and better oral hygiene maintenance. Metal and ceramic brackets are both available for self ligating braces.

Removable Clear Aligners

This method of aligning teeth has become very popular. These are most suited to patients, who do not need major adjustments or who do not have any severe orthodontic issues. Removable tooth aligners are virtually invisible, removable acrylic trays, which straighten the teeth just like the more traditional types of braces.

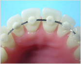
Lingual Braces

These braces are the same as traditional metal braces, but the wires and brackets are applied to the inside of the teeth instead of the outside. This method of aligning teeth may take longer than traditional methods.

Types of retainers


Removable retainers

Hawleys

It is one of the most common type of removable retainers made of a combination of metal wires and sturdy acrylic, designed to keep your teeth in place. It is made especially from the impressions of your teeth so that it has a snug and comfortable fit.

Essix

It is a transparent removable retainer that fits over the entire arch of the teeth. It does not have wires.

Fixed retainers

Lingual bonded

Bonded lingual retainers are cemented directly to the inside surface of the teeth. It is one of the best ways to prevent teeth from shifting as it is permanently attached to the inside.

Oral Hygiene and Mouth Ulcers


There is an increased risk of dental decay during orthodontic treatment, hence the necessity of maintaining good oral hygiene. Though orthodontic appliances do not cause decay, but can be a factor in retaining food particles and causing plaque.

The best and easiest ways to care for your mouth, teeth and gums:

  • Brush at least twice a day, for 3 – 4 minutes, especially first thing in the morning and before bedtime.
  • Brush before every appointment.
  • Limit the number of times you snack each day.
  • Minimize consumption of sugar, carbonated beverages and energy drinks.
  • Use mouth washes twice a week.
  • Do not eat food that ARE NOT suitable for your braces.
  • After every meal rinse your mouth properly with water to wash away food debris.
  • Visit your family dentist as and when instructed by us for an oral exam and professional cleaning.
Interdental brush

A proxabrush is an interdental (between the teeth) toothbrush that you may use to clean underneath and around the wires and braces. Use it gently.

  • Fluoride based mouthwashes as prescribed.
  • Chlorhexidine mouthwashes as prescribed.
  • Topical fluoride application as advised.

MOUTH ULCERS (Aphthous ulcers)

Things to do when experiencing mouth ulcers.

  • Use wax as instructed. Ensure that you remove the wax before eating meals and consuming any hot liquids.
  • Stay hydrated. Drink a lot of water.
  • Do warm saline rinses
  • Application of mouth ulcer gels as prescribed.

Foods TO Avoid


Eating the right food and avoiding food items that can cause problems is an important part of looking after braces. With removable braces patients can eat any foods but they must always brush their teeth before putting the aligners back in.

The brackets and wires on a fixed brace can be damaged by excessively hard, chewy or sticky foods.

In the first few days after the braces are fitted, or after adjustments, the teeth will probably feel tender. Eat soft foods like upma, soft dal rice, khichdi, curd rice, soups, mashed potatoes, pancakes, porridge etc.

No chewing gums

No Sticky foods: Toffees, chocolates, lollipops etc.

No Hard foods: like chikki, chakri, sugarcane, apple*, carrot*, popcorn, corn on cob (makai), ice, tortilla chips, dry fruits*.

EAT LESS: Ice creams, pastries, cakes, cookies, Indian sweets

DRINK LESS: Sweetened drinks like cocoa, cold coffee etc.


AVOID CHEWING ON PENS, PENCILS, AND FINGER NAILS

* Avoid biting into hard foods with your front teeth.
* Whole fruits and vegetables such as apples and carrots should be cut into bite-sized pieces.
* Powder the dryfruits

Maintaining healthy and nutritious diet is important for oral health and overall heath.

FAQS


Although some dentists might offer corrective appliances, like braces, you should always choose an orthodontist for your treatment. An orthodontist has an additional three years of specialized training (MDS) in Orthodontia in addition to his BDS degree and will be able to design treatment programs and offer corrective appliances to address bite or other alignment issues. Compared to an orthodontist, a dentist may not have as much experience in treating issues of abnormalities in growing or mature dentofacial structures.

No. you can schedule an appointment yourself. Though we do have patients referred by their family dentist.

The IOS (Indian Orthodontic Society) alongwith other orthodontic societies associations across the world recommends an orthodontic screening at age 7. By this age several permanent teeth have erupted, allowing us to effectively evaluate your orthodontic condition.

No, they will not. The space available for the front teeth does not increase as you grow. In most people, after the permanent molars erupt, the space available for the front teeth decreases with age.

We will cover the following essential questions during your initial examination


  1. Do you have an orthodontic problem?
  2. Is treatment needed now or should treatment be deferred until appropriate growth, teeth eruption or other factors occur?
  3. What treatment procedures must be done to correct your problem?
  4. Will any tooth/teeth need to be removed?
    1. We shall first advise you to get your initial XRAYS, study models, clinical and dental photographs; we shall evaluate the need of teeth removal based on the same.
  5. Duration of the treatment.
  6. What will be the cost of the treatment?

Removing teeth is sometimes required to achieve the best orthodontic results.

Treatment time depends upon each patient’s specific orthodontic problem. The average time frame the treatment lasts is generally 18-24 months.

Scheduled appointments as per the treatment plan shall happen between 3 – 6 weeks. For specific situations that require frequent monitoring, we shall schedule appointments accordingly.

Generally braces do not hurt. After certain visits, some patients do feel soreness or some discomfort. The pain and discomfort can be eased with the help of medication prescribed by us. And warm saline water rinses also help.

Yes. But we recommend a mouth guard for all sports.

Yes, regular checkups with your family dentist are important while wearing braces to ensure teeth are cleaned regularly.

Yes, once the treatment begins, we shall explain the complete set of instructions and the list of forbidden food items. 
The list comprises of foods like chewing gums, sticky foods like pizza, chocolates, hard foods like chikki, chakri, makai etc. Eat less ice cream, pastries and drink less of colas and other sweetened drinks.
You can avoid emergency appointments to repair broken or damaged braces by carefully following our instructions. And also limit the no of times you snack each day.

If you have poking wire/loose wire/ band/bracket – place wax/cotton swab/gauze on the tip and seek an appointment.
If there is soreness and lacerations/ulcers – use warm salt water rinses, mouth washes and mouth ulcer gels.
In case of pain, pain reliever as prescribed.

Yes. Some orthodontic problems are significant enough to require early intervention.

Early orthodontic checkups help identify problems related to crooked, irregularly placed, forwardly placed teeth, correction of bites, identifying problems in jaw growth, and ensures timely correction.
This would also help in identifying habit problems relating to speech, thumb sucking, mouth breathing, lip biting, snoring, and help maintain good oral health.

It is never too old or late to have braces. Braces are said to improve in an adult not only the smile but also the overall function and dental health.
Health, happiness and self esteem are very vital to every individual.

Wisdom teeth do not usually affect treatment directly, but if they are impacted, then we shall recommend it to be removed to prevent future crowding.

Yes, it is difficult because the braces are more difficult to clean around. However, it only takes 3-4 minutes several times a day to keep them perfectly clean.

Retainers are used at the last phase of orthodontic treatment. It is a simple removable device that is fitted to your teeth to hold them in their corrected position after the fixed (bonded) braces are removed.

After the braces have been removed, teeth can shift back to their original position. We advise our patients to wear retainers overnight for a specified period to help maintain the position of the straightened teeth. If you don’t wear retainers regularly, you increase your chances of relapse.