
Orthodontic treatment is an option for most adults with crooked teeth or uneven bites, just as it is for children and teenagers. Investing in a smile makeover
can have significant benefits, socially and professionally.
Healthy teeth can be moved at any age, so there's no such thing as being too old for braces. However the health of the gums, tissues and bone shall be assessed before finalizing a
treatment plan.
The reasons for wanting straight teeth can be varied and not just flashing a beautiful smile.
In conjunction with other medical and dental specialists, the diagnosis and management of obstructive sleep apnea, bruxism, and jaw joint problems can also be done.
A lot of psychological benefits are reported when undergoing orthodontic treatment, often reporting a boost in self-confidence.
In addition to psychological benefits, having straight teeth can make them function better and easier to clean, possibly reducing the chances of tooth decay and gum problems.
Traditional Ceramic /Ceramic Self Ligating
Braces
Clear Aligners
Lingual Braces
The IOS (Indian Orthodontic Society) along with all other Orthodontic societies in the world recommend that a child’s first visit to an Orthodontist be around the age of 7 years.
Orthodontic treatment can be started at any age. It is best done during the growing years of a child. Early screening ensures early interception of the problem, thereby ensuring timely correction in a developing problem. At around this age the first adult molars erupt, which enables an Orthodontist to evaluate the presence of malocclusions (bad bites) and irregularities.
Firstly your ability to chew food properly depends on your bite, which in turn helps better absorption of vitamins, minerals and nutrients from food. Untreated malocclusions can result in a variety of problems
Early interceptive Orthodontics consists of a two phase treatment protocol, wherein PHASE 1(SPECIALISED ORTHODONTICS) is an early interception of a developing problem. This involves appliances like Advansync 2 and Face masks to correct lower jaw, upper jaw deficiency respectively,and habit breaking appliances etc. PHASE 2 is about then correcting the position of the teeth using braces.
It is an exciting moment to get rid off your braces and flash your straightened “ivories”. But before you happily drive away, you should keep in mind that teeth have a
tendency to shift back into its original position. That would be awful, as you, your carer and we have together worked hard to achieve excellent results. So it is
imperative to wear retainers as dutifully as instructed by us.
This is the last phase of your treatment and is as important as the active treatment.
Retainers are custom made devices, usually made of wires and acrylic plate or clear plastic, that hold teeth in position after any method of realigning teeth.
We provide fixed as well as removable retainers depending on the individual’s requirements.
Points to remember while wearing retainers
Fixed – Advansync 2 – it is an interceptive treatment. This appliance is given during the growing years of a child, with underdeveloped lower jaw. It is permanently attached to the teeth. It is not visible from the outside of the mouth. The appliance stays in the mouth for about 8 – 12 months.
This is an interceptive treatment. This appliance is given during the growing years of the child, where the upper jaw is deficient. This appliance has to be worn for 6 – 8 months. Patient cooperation is imperative.
Temporary anchorage devices are mini screws, small, less visible, painlessly fixed to the jaw bone or bone around the teeth. They are used as a support to apply orthodontic forces to carry out certain tooth movements. They are biocompatible and do not interfere with any mouth functions. They are removed once the required movement is achieved.
Finger or thumb sucking, tongue thrusting and other oral habits can cause serious malocclusions if they are not corrected early. These appliances are specific custom fabricated appliances which may be removable or fixed. These are worn inside the mouth to help a child discontinue a detrimental habit, which has caused undesirable teeth position or is affecting growth of facial bones. This is worn until the habit stops and can be used separately or along with fixed braces.
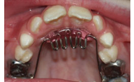
Sometimes an early loss of a milk tooth causes drifting of adjoining milk/permanent teeth and space required for the subsequent permanent tooth reduces/closes completely causing it to stay impacted inside the bone or erupt in an awkward position. In such cases a space maintainer appliance is given which holds the spaces required for the permanent tooth till it is ready to erupt.
To ensure a safe and infection free environment is at the heart of our practice. To eliminate risks of infection & cross contamination, we undertake the following measures: